全瓷牙
别名:全瓷冠、全瓷烤瓷牙全瓷牙不含金属,由高强度全瓷内冠和高美观性饰面瓷两部分组成,应用于临床20多年来,取得了突飞猛进的发展,目前欧美发达国家已经掀起“无金属修复”的潮流,全瓷牙将渐渐取代金属烤瓷牙,成为新世纪口腔修复体的主流选择。
- 安全度
- 复杂度
- 疼痛度 : 轻度疼痛
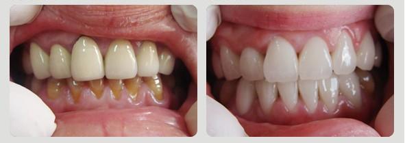
危害小,不含金属,由高强度全瓷内冠和高美观性饰面瓷两部分组成; 密度和强度高,可制作6个单位以上的烤瓷桥,解决了全瓷系统不能做长桥的问题; 牙齿颜色自然,牙冠边缘不明显,适合对美观要求较高的患者; 不含金属,需要进行头颅x线、CT、核磁共振检查时都不影响。
约1000~3000元/次
- 项目档案
- 项目优缺点
- 禁忌人群
-
操作方式 牙齿美容 麻醉方式 局麻 治疗时长 1-1.5小时 恢复时间 7-14天 以上信息均为参考,实际以到医院操作为准
-
项目优点 危害小,不含金属,由高强度全瓷内冠和高美观性饰面瓷两部分组成; 密度和强度高,可制作6个单位以上的烤瓷桥,解决了全瓷系统不能做长桥的问题; 牙齿颜色自然,牙冠边缘不明显,适合对美观要求较高的患者; 不含金属,需要进行头颅x线、CT、核磁共振检查时都不影响。 项目缺点 价格较高; 存在崩瓷可能。 以上信息均为参考,实际以到医院操作为准
-
禁忌人群 牙齿缺失数目较多,前牙连续缺失超过4颗,后牙连续缺失超过2颗者; 牙齿松动者(具体松动程度可向专业牙医咨询); 牙周病严重者; 牙齿根部有病理性改变者; 青少年恒牙尚未发育完全者; 严重深覆牙合,咬合紧或有夜磨牙习惯者。 以上信息均为参考,实际以到医院操作为准
2.有牙周疾病的患者,需要先进行牙周治疗,保证牙龈健康;
3.有些错合畸形的患者,需要先进行正畸治疗,以此恢复良好的咬合关系。
- 0天~7天治疗期
- 恢复提示:首次治疗与佩戴临时牙套。护理方法:1.初戴临时牙套,有轻度不适感,患者应耐心练习使用,逐渐适应; 2.初戴全瓷牙时,应吃软的食物,适应后再吃正常食物(要缓慢进食,逐渐适应,以免咬伤颊舌黏膜); 3.初期不要咬太硬的食物或者干果,比如核桃一类的干果。
- 8天~30天适应期
- 恢复提示:佩戴全瓷牙,适应期。护理方法:全瓷牙与基牙的接合处容易聚集菌斑,要注意保持口腔清洁,养成餐后刷牙的习惯,牙缝间可以使用牙线清洁,并定期到医院检查及洁牙。
= 2 ? show_num = 6 : show_num += 6">{{show_num>=2?'收起':'展开'}}
以上术后护理仅供参考。因个体差异、采用术式不同,恢复周期、拆线时间及护理方法均会有所不同。具体护理方案,建议遵医嘱执
- 全瓷牙能使用多长时间?
全瓷牙的使用寿命一般十几年到二十几年,平时多注意清洁保持,遵医嘱,会用的更长;但全瓷牙能用多长时间和很多因素有关,与医生的水平有关,与牙齿的本身情况有关,还与使用情况有关;患者在使用中应避免啃咬硬物,如蚕豆或金属瓶盖等,只要平时注意正确的维护和保养,其寿命将得到很大的提高。
- 全瓷牙做好清洁护理重要吗?
由于全瓷牙和普通烤瓷牙一样,是包绕在剩余的牙体组织之上的,与完整健康的牙体组织相比,烤瓷牙与牙体组织相连接的部位,更容易继发龋坏,导致治疗失败;因此,全瓷牙后做好口腔清洁护理很重要。
- 刷牙或者使用牙线时是否会使全瓷牙脱落?
正常情况下,不会的;如果发生脱落情况,大多数是由于继发龋坏或者固位力差导致,应及时就医。
- 全瓷牙治疗后多久能恢复正常工作生活?
首次治疗后医生会进行磨牙、取膜等,之后需要戴一周的临时冠,待工厂将全瓷牙制作完成后,再进行粘固,就完成治疗了;戴临时冠期间不影响正常咀嚼,但要注意保持口腔卫生。
- 全瓷牙整个治疗时间需要多久?
1.如牙齿由于颜色或形态缺陷要修复,通常第一次制作临时牙冠;第二次就诊大概在一星期后,便可黏固假牙;2.如牙齿有龋坏或牙体缺损,尚未损伤牙神经,需先进行牙体充填;如充填物距牙神经较远,可以充填完成后,再进行牙体制备;如充填物距离牙神经较近,需根据情况观察一段时间;3.如牙齿有大面积龋坏、牙体缺损,已波及牙神经或有根尖周病变,需先治疗牙髓或根尖周,情况稳定后进行修复治疗。
- 牙齿拥挤能做烤瓷牙吗?
一般而言,牙列拥挤分为轻、中、重三种,具体的划分标准如下:轻度拥挤每个牙弓间隙差5mm以下。中度拥挤每个牙弓间隙差10mm以下。重度拥挤每个牙弓间隙差10mm以上。牙列拥挤度太大,即重度拥挤者,不适宜去做烤瓷牙整
- 龅牙可以做烤瓷牙吗?
龅牙有很多种原因,不是所有的龅牙都可以用短平快的做烤瓷牙的方式解决。前牙不整齐,太影响美观,烤瓷牙改善前牙美观投资少、周期短、见效快,但从远期效果和健康角度分析不一定是最佳的选择。正畸解决龅牙相对缓慢
- 龅牙可以做全瓷牙吗?
龅牙有很多种原因,不是所有的龅牙都可以用短平快的做烤瓷牙的方式解决。前牙不整齐,太影响美观,烤瓷牙改善前牙美观投资少、周期短、见效快,但从远期效果和健康角度分析不一定是最佳的选择。正畸解决龅牙相对缓慢
- 烤瓷牙是?
烤瓷牙,金属烤瓷冠目前临床使用最多的全冠修复体,兼有铸造金属全冠机械强度好和全瓷冠美观的优点,是一种较理想的修复体。主要适应的症状有:1.由于牙髓、根尖周病变或者隐裂等原因而进行根管治疗后需要修复的患牙
- 烤瓷牙哪种类型的的好呢?
您好,很高兴为您解答!烤瓷牙一般分为金属烤瓷牙,和全瓷牙,金属烤瓷牙是金属底座的,又分成贵金属,贱金属,和普通金属,常见的金银牢固不过敏,常见的钴铬冠属于普通金属,贱金属镍铬之类的基本被淘汰了,钛合金








